Table of Contents
Washington University Experience | PERIPHERAL NEUROPATHY | 1 NORMAL NERVE ANATOMY | 7 Biopsied Nerves Other than Sural | 6B2 (Case 6) LABC EM 016 - Copy
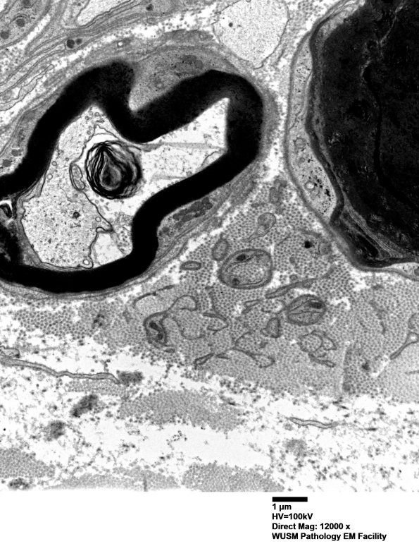
6B2-4 Basal lamina free of axons and collagen pockets mark the prior distribution and loss of unmyelinated axons. (Electron micrographs)
