Table of Contents
Washington University Experience | PERIPHERAL NEUROPATHY | 1 NORMAL NERVE ANATOMY | 7 Biopsied Nerves Other than Sural | 6B5 (Case 6) LABC EM 011 copy - Copy - Copy
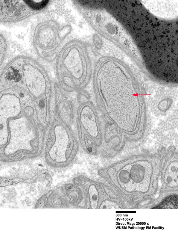
I think this structure (arrow) resembles dystrophic axons with tubulovesicular organelles and clefts and may reflect regeneration or altered growth cones. (Electron micrographs)
