Table of Contents
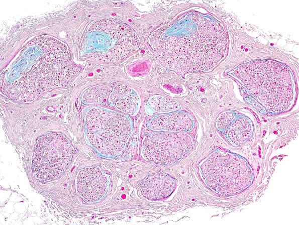
Washington University Experience | PERIPHERAL NEUROPATHY | 1 NORMAL NERVE ANATOMY | 8 Renaut bodies | 10B1 Renaut bodies (Case 10) Alcian Blue 2.jpg
10B1-3 The RB are rich in Alcian Blue. Notice the subperineurial staining as well. (Alcian Blue)
