Table of Contents
« prev
next »
Washington University Experience
|
PERIPHERAL NEUROPATHY
|
1 NORMAL NERVE ANATOMY
|
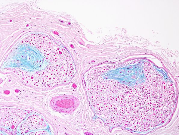
8 Renaut bodies
|
10B2 Renaut bodies (Case 10) Alcian Blue 3.jpg
The RB are rich in Alcian Blue.
Image Info
Camera Maker:
Olympus Corporation
Camera Model:
DP70
Original Time Taken:
01-05-2013
Shutter Speed:
1/1200 sec
ISO Sensitivity:
200
Metering Mode:
Spot
Gallery RSS
|
Archive View
|
Login
|
Powered by
Zenphoto