Table of Contents



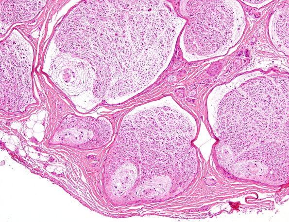
Washington University Experience | PERIPHERAL NEUROPATHY | 1 NORMAL NERVE ANATOMY | 8 Renaut bodies | 11A2 Renaut body (Case 11) H&E 4

11A2 Renaut body (Case 11) H&E 4
A sural nerve rich in RB. (H&E)


Gallery RSS RSS Feed | Archive View | Login | Powered by Zenphoto