Table of Contents



Washington University Experience | PERIPHERAL NEUROPATHY | 1 NORMAL NERVE ANATOMY | 8 Renaut bodies | 12D1 Renaut body (Case 15) Plastic 3 - Copy

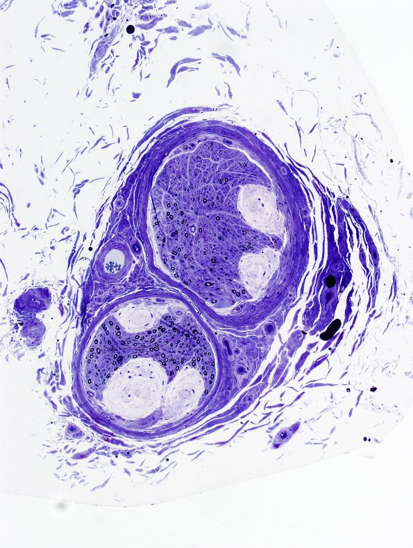
12D1 Renaut body (Case 15) Plastic 3 - Copy
12D1,2 Multiple RB in this sural nerve. (Plastic sections)



Gallery RSS RSS Feed | Archive View | Login | Powered by Zenphoto