Table of Contents
« prev
next »
Washington University Experience
|
PERIPHERAL NEUROPATHY
|
1 NORMAL NERVE ANATOMY
|
8 Renaut bodies
|
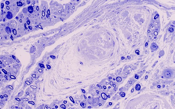
12E3 Renaut bodies (Case 16) Plastic 40X
Numerous RB varying in composition in this sural nerve.
Image Info
Camera Maker:
Olympus
Camera Model:
DP74 #1
Shutter Speed:
18/3125 sec
Metering Mode:
Average
Gallery RSS
|
Archive View
|
Login
|
Powered by
Zenphoto