Table of Contents
« prev
next »
Washington University Experience
|
PERIPHERAL NEUROPATHY
|
1 NORMAL NERVE ANATOMY
|
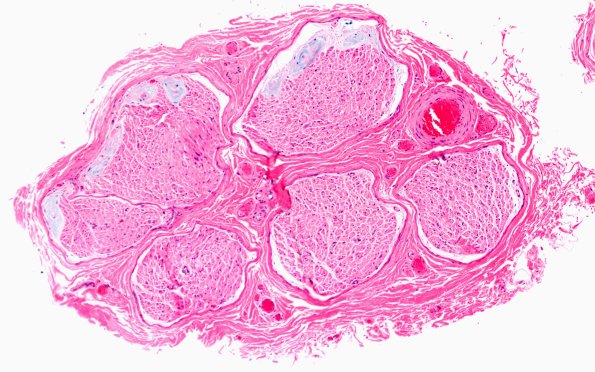
8 Renaut bodies
|
12G1 Renaut Anti-MAG (Case 18) B1 H&E 10Xa
12G1,2 Renaut bodies shown stained with H&E (12G1) and Alcian Blue (12G2).
Image Info
Camera Maker:
Olympus
Camera Model:
DP74
Shutter Speed:
23/50000 sec
Metering Mode:
Multi-Spot
Gallery RSS
|
Archive View
|
Login
|
Powered by
Zenphoto