Table of Contents
« prev
next »
Washington University Experience
|
PERIPHERAL NEUROPATHY
|
1 NORMAL NERVE ANATOMY
|
8 Renaut bodies
|
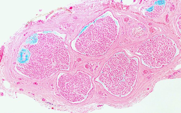
12G2 Renaut Anti-MAG (Case 18) B1 Alcian Blue 10X 1
Renaut bodies shown stained with Alcian Blue.
Image Info
Camera Maker:
Olympus
Camera Model:
DP74
Shutter Speed:
41/100000 sec
Metering Mode:
Multi-Spot
Gallery RSS
|
Archive View
|
Login
|
Powered by
Zenphoto