Table of Contents
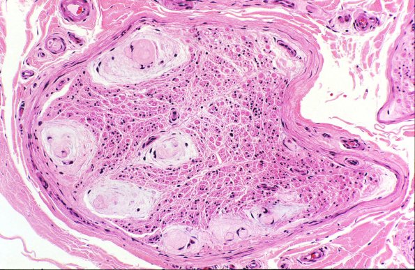
Washington University Experience | PERIPHERAL NEUROPATHY | 1 NORMAL NERVE ANATOMY | 8 Renaut bodies | 12H Renaut bodies (Case 19) H&E 1
Numerous Renaut bodies in a patient with no history of compression or hypothyroidism. (H&E)
