Table of Contents
« prev
next »
Washington University Experience
|
PERIPHERAL NEUROPATHY
|
1 NORMAL NERVE ANATOMY
|
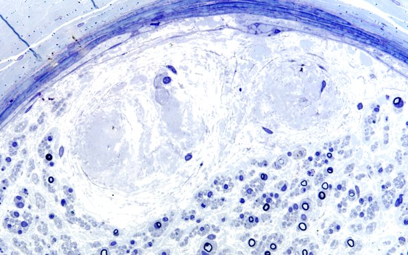
8 Renaut bodies
|
12I2 Renaut bodies (Case 12I) 60X 2
These Renaut bodies consist of wispy collagen and cell processes. (Plastic section)
Image Info
Camera Maker:
Olympus
Camera Model:
DP74
Shutter Speed:
2/177 sec
Metering Mode:
Multi-Spot
Gallery RSS
|
Archive View
|
Login
|
Powered by
Zenphoto