Table of Contents
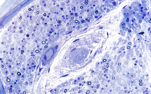
Washington University Experience | PERIPHERAL NEUROPATHY | 1 NORMAL NERVE ANATOMY | 8 Renaut bodies | 12I5 Renaut bodies (Case 12I) 60X 3
Additional Renaut body in this case with a denser focus arising from a septum. (Plastic section)
