Table of Contents
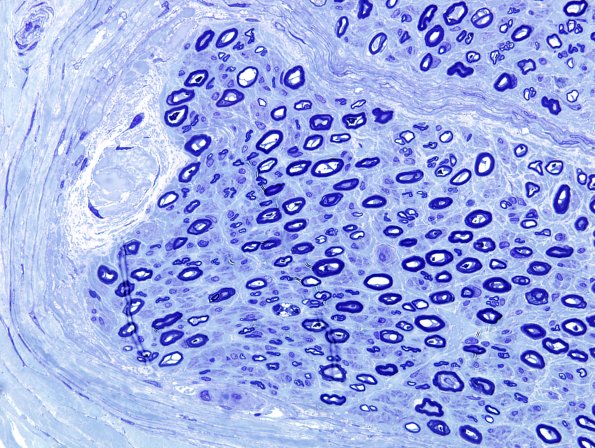
Washington University Experience | PERIPHERAL NEUROPATHY | 1 NORMAL NERVE ANATOMY | 8 Renaut bodies | 1A1 Renaut Bodies (Case 1) Plastic 3.jpg
1A1,2 Plastic sections show typical RBs as subperineurial hypocellular collections of wispy and dense extracellular material accompanied by scattered fibroblast-like cellular elements which largely exclude myelinated and unmyelinated axons. (Plastic sections)
