Table of Contents
« prev
next »
Washington University Experience
|
PERIPHERAL NEUROPATHY
|
1 NORMAL NERVE ANATOMY
|
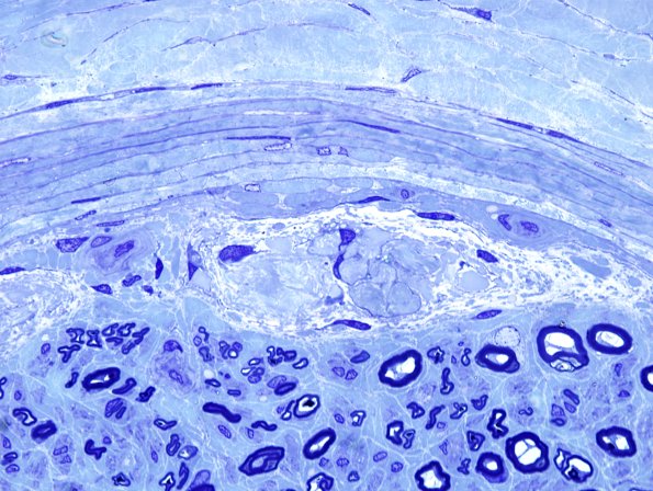
8 Renaut bodies
|
1A2 Renaut Bodies (Case 1) Plastic 7.jpg
Higher magnification of image #1A1. (Plastic section)
Image Info
Camera Maker:
Olympus Corporation
Camera Model:
DP70
Original Time Taken:
21-03-2013
Shutter Speed:
1/8 sec
ISO Sensitivity:
200
Metering Mode:
Spot
Gallery RSS
|
Archive View
|
Login
|
Powered by
Zenphoto