Table of Contents
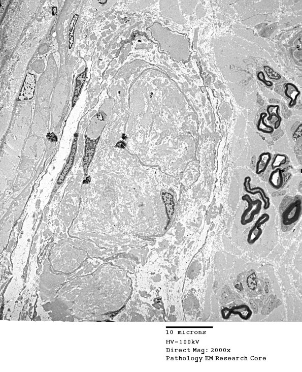
Washington University Experience | PERIPHERAL NEUROPATHY | 1 NORMAL NERVE ANATOMY | 8 Renaut bodies | 1B1 Renaut bodies (Case 1) EM 007A - Copy
A low magnification electron micrograph of the RB shown in #1A2. This RB is rich in dense connective tissues as shown in the following images. (electron micrograph)
