Table of Contents
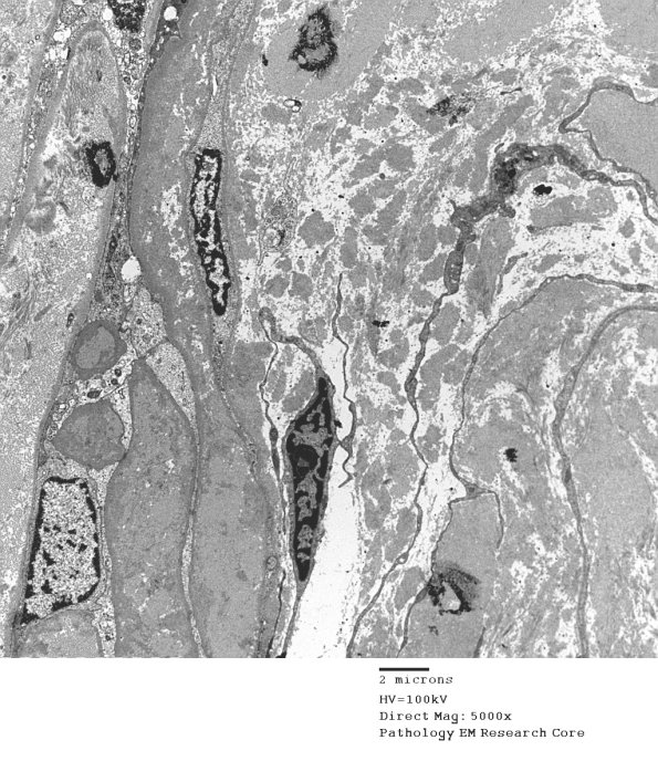
Washington University Experience | PERIPHERAL NEUROPATHY | 1 NORMAL NERVE ANATOMY | 8 Renaut bodies | 1B10 Renaut bodies (Case 1) EM 010A - Copy
1B10,11 Notice that this RB extends from the perineurium (arrowheads, 1B11) to solid admixtures of oxytalan and collagen (arrow). (electron micrographs)
