Table of Contents
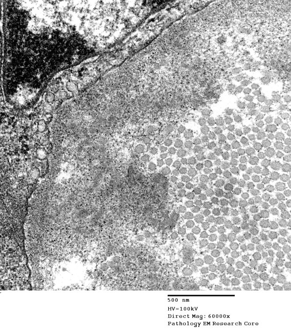
Washington University Experience | PERIPHERAL NEUROPATHY | 1 NORMAL NERVE ANATOMY | 8 Renaut bodies | 1B12 Renaut bodies (Case 1) EM 042A - Copy
Higher magnification of image #1B11 showing both collagen and oxytalan. (electron micrograph)
