Table of Contents



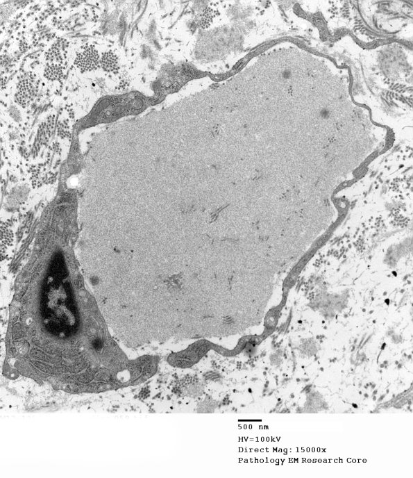
Washington University Experience | PERIPHERAL NEUROPATHY | 1 NORMAL NERVE ANATOMY | 8 Renaut bodies | 1B15 (Case 1) Renaut bodies_059 - Copy

1B15 (Case 1) Renaut bodies_059 - Copy
The appearance of fibroblast-like cells in the RB. (electron micrographs)


Gallery RSS RSS Feed | Archive View | Login | Powered by Zenphoto