Table of Contents
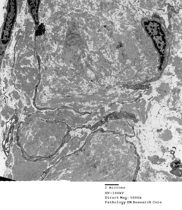
Washington University Experience | PERIPHERAL NEUROPATHY | 1 NORMAL NERVE ANATOMY | 8 Renaut bodies | 1B2 Renaut bodies (Case 1) EM 008A - Copy
Higher magnification of the RB shows scattered fibroblast-like-cells and their thin processes.
