Table of Contents
Washington University Experience | PERIPHERAL NEUROPATHY | 1 NORMAL NERVE ANATOMY | 8 Renaut bodies | 1B9 (Case 1) Mize_017 - Copy
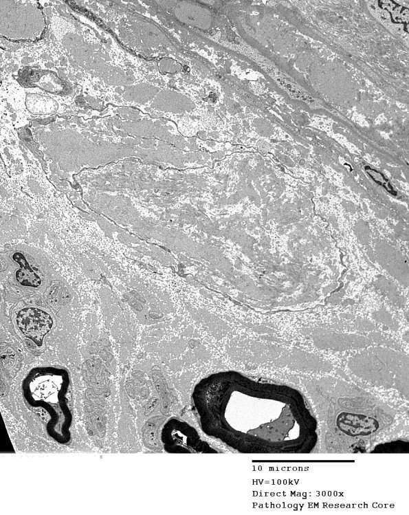
A second smaller RB is shown at higher magnifications in the following images. (electron micrograph)
