Table of Contents
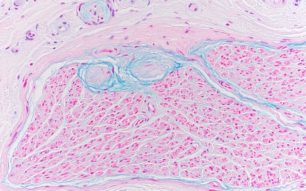
Washington University Experience | PERIPHERAL NEUROPATHY | 1 NORMAL NERVE ANATOMY | 8 Renaut bodies | 2B2 Renaut bodies, (Case 2) Alcian blue 20X 2A
Alcian blue stains the wispy portions of the RB and extends in a subperineurial band more generally. (Alcian Blue)
