Table of Contents
« prev
next »
Washington University Experience
|
PERIPHERAL NEUROPATHY
|
1 NORMAL NERVE ANATOMY
|
8 Renaut bodies
|
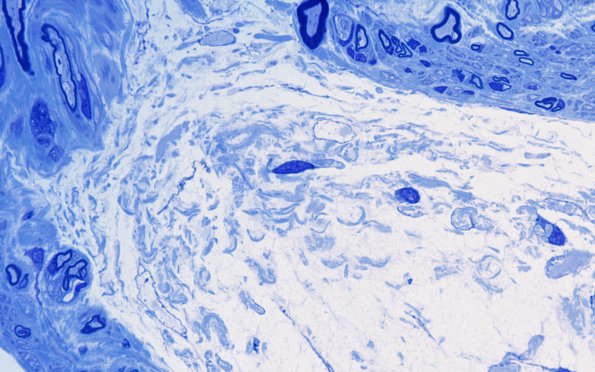
2C3 Renaut bodies, (Case 2) 100X 4A
These RB are rich in wispy processes. (Plastic sections)
Image Info
Camera Maker:
Olympus
Camera Model:
DP74
Shutter Speed:
31/1308 sec
Metering Mode:
Multi-Spot
Gallery RSS
|
Archive View
|
Login
|
Powered by
Zenphoto