Table of Contents
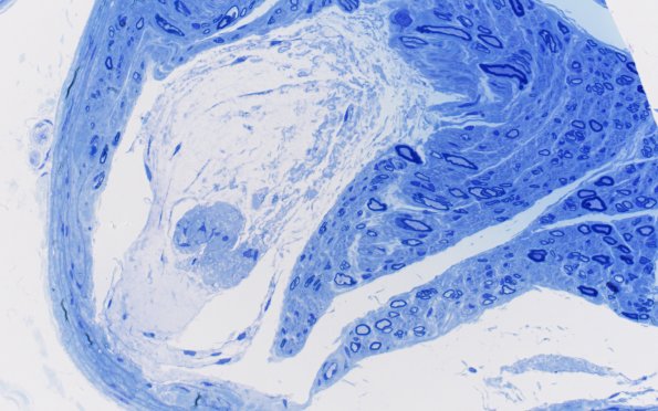
Washington University Experience | PERIPHERAL NEUROPATHY | 1 NORMAL NERVE ANATOMY | 8 Renaut bodies | 2C4 Renaut bodies, (Case 2) 40X 4A
2C4-6 There are varying amounts of dense collections of cells and matrix. (Plastic sections)
