Table of Contents
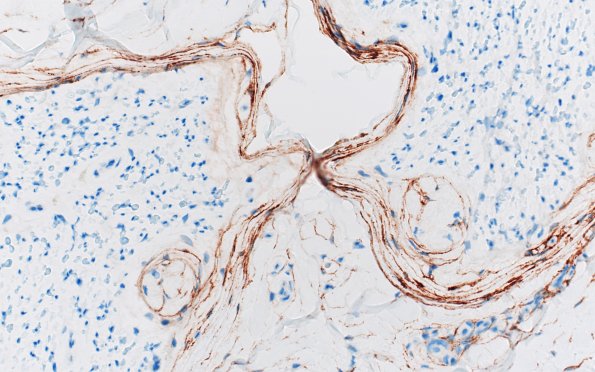
Washington University Experience | PERIPHERAL NEUROPATHY | 1 NORMAL NERVE ANATOMY | 8 Renaut bodies | 2D2 Renaut bodies, (Case 2) EMA 40X 1A
EMA immunohistochemistry stains the perineurium and cellular processes of the RB fibroblast-cell-like elements at several magnifications. (EMA IHC)
