Table of Contents
« prev
next »
Washington University Experience
|
PERIPHERAL NEUROPATHY
|
1 NORMAL NERVE ANATOMY
|
8 Renaut bodies
|
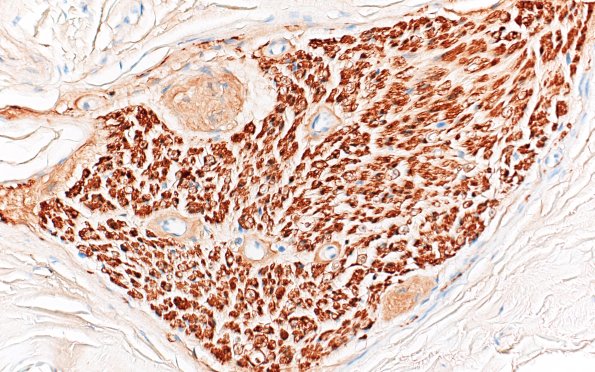
2F2 Renaut bodies, (Case 2) S100 40X 3A
The RB are also stained with S100 immunohistochemistry. (S100 IHC)
Image Info
Camera Maker:
Olympus
Camera Model:
DP74
Shutter Speed:
30/7109 sec
Metering Mode:
Multi-Spot
Gallery RSS
|
Archive View
|
Login
|
Powered by
Zenphoto