Table of Contents



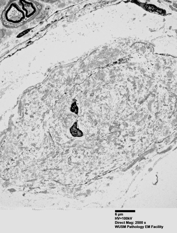
Washington University Experience | PERIPHERAL NEUROPATHY | 1 NORMAL NERVE ANATOMY | 8 Renaut bodies | 2H1 (Case 2) nerve_003 - CopyA

2H1 (Case 2) nerve_003 - CopyA
A small RB is shown at low magnification. (electron micrograph


Gallery RSS RSS Feed | Archive View | Login | Powered by Zenphoto