Table of Contents
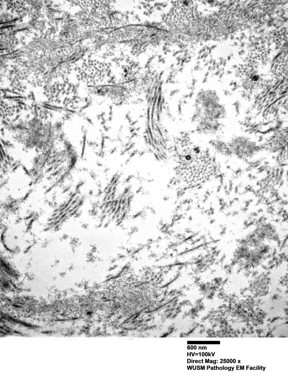
Washington University Experience | PERIPHERAL NEUROPATHY | 1 NORMAL NERVE ANATOMY | 8 Renaut bodies | 2H4 (Case 2) nerve_023 - CopyA
Higher magnification of elements of the RB shown in image #2H1 demonstrating the admixture of collagen and oxytalan. (electron micrographs)
