Table of Contents
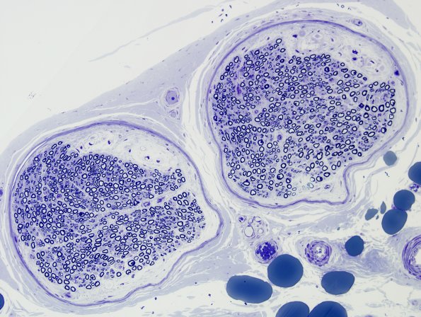
Washington University Experience | PERIPHERAL NEUROPATHY | 1 NORMAL NERVE ANATOMY | 8 Renaut bodies | 4A1 Renaut body (Case 4) Plastic 4
Notice that the extensions of the RB produce an appearance of subperineurial edema. (Plastic sections)
