Table of Contents
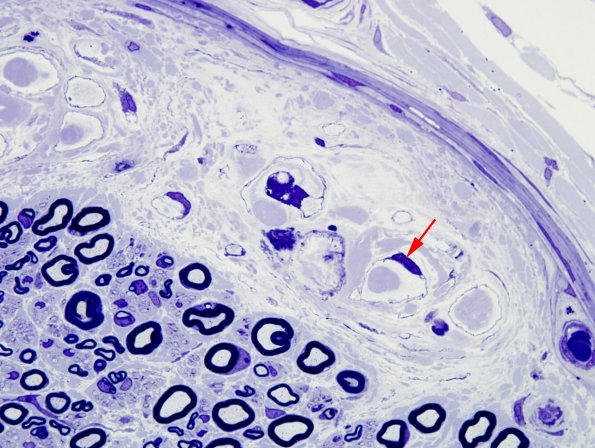
Washington University Experience | PERIPHERAL NEUROPATHY | 1 NORMAL NERVE ANATOMY | 8 Renaut bodies | 4A2 Renaut body (Case 4) Plastic 1 copy
Notice that the dense elements are often constrained by fibroblast-like-cell processes (arrow). (Plastic sections)
