Table of Contents
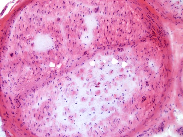
Washington University Experience | PERIPHERAL NEUROPATHY | 1 NORMAL NERVE ANATOMY | 8 Renaut bodies | 5A2 Renaut body-oma (Case 5) H&E 3.jpg
There are extensive RB in this case located in various regions of the endoneurium. (H&E) Thanks Alan Pestronk MD
