Table of Contents
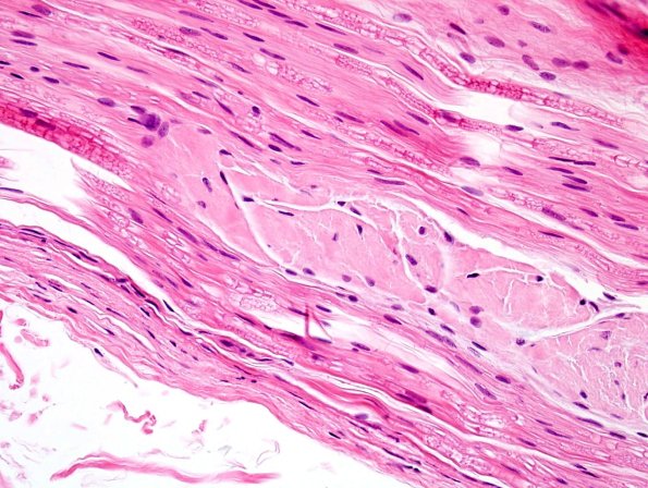
Washington University Experience | PERIPHERAL NEUROPATHY | 1 NORMAL NERVE ANATOMY | 8 Renaut bodies | 5A3 Renaut body-oma (Case 5) H&E 4
5A3,4 These longitudinal sections show the subperineurial extension and variation in compaction in these RB. (H&E)
