Table of Contents
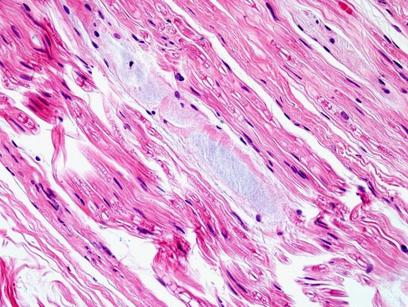
Washington University Experience | PERIPHERAL NEUROPATHY | 1 NORMAL NERVE ANATOMY | 8 Renaut bodies | 5A4 Renaut body-oma (Case 5) H&E 6
These longitudinal sections show the subperineurial extension and variation in compaction in these RB. (H&E)
