Table of Contents
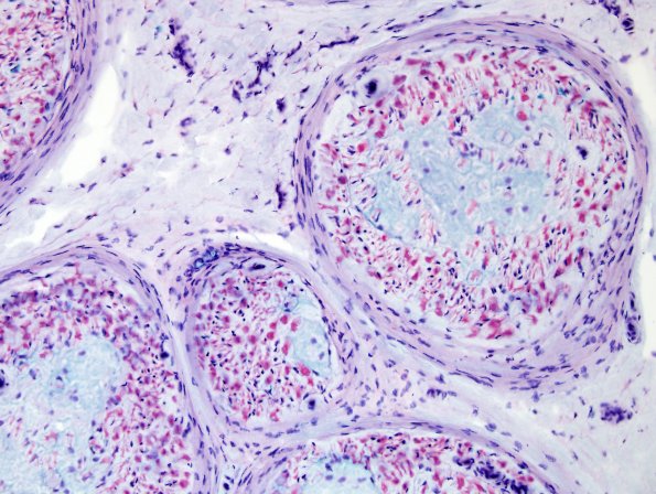
Washington University Experience | PERIPHERAL NEUROPATHY | 1 NORMAL NERVE ANATOMY | 8 Renaut bodies | 5B4 Renaut body-oma (Case 5) Alcian Blue 3.jpg
Higher magnification images which show many endoneurial elements, including small vessels caught up in the matrix. (Alcian Blue Histochemistry)
