Table of Contents
« prev
next »
Washington University Experience
|
PERIPHERAL NEUROPATHY
|
1 NORMAL NERVE ANATOMY
|
8 Renaut bodies
|
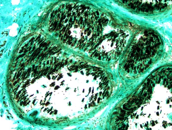
5E Renaut body-oma (Case 5) NF 1.jpg
Axons are largely excluded from the RB. (NF IHC)
Image Info
Camera Maker:
Olympus Corporation
Camera Model:
DP70
Original Time Taken:
15-03-2017
Shutter Speed:
1/330 sec
ISO Sensitivity:
200
Metering Mode:
Spot
Gallery RSS
|
Archive View
|
Login
|
Powered by
Zenphoto