Table of Contents
« prev
next »
Washington University Experience
|
PERIPHERAL NEUROPATHY
|
1 NORMAL NERVE ANATOMY
|
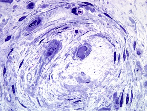
8 Renaut bodies
|
5F10 Renaut body-oma (Case 5) Plastic 100X 26.jpg
Additional Renaut body. (Plastic section)
Image Info
Camera Maker:
Olympus Corporation
Camera Model:
DP70
Original Time Taken:
18-03-2017
Shutter Speed:
1/53 sec
ISO Sensitivity:
200
Metering Mode:
Spot
Gallery RSS
|
Archive View
|
Login
|
Powered by
Zenphoto