Table of Contents
Washington University Experience | PERIPHERAL NEUROPATHY | 1 NORMAL NERVE ANATOMY | 8 Renaut bodies | 5F3 Renaut body-oma (Case 5) Plastic 12.jpg
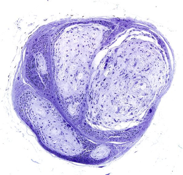
This cross section is dominated by RB to the extent that we called it a “Renaut body-oma”.
(Plastic sections)
