Table of Contents
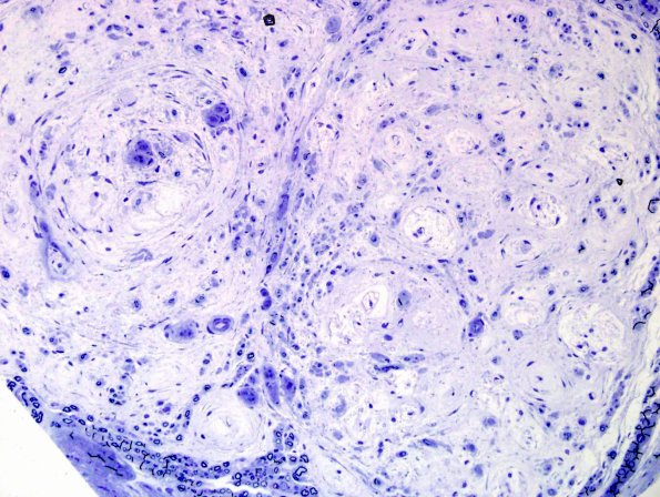
Washington University Experience | PERIPHERAL NEUROPATHY | 1 NORMAL NERVE ANATOMY | 8 Renaut bodies | 5F4 Renaut body-oma (Case 5) Plastic 2
5F4,5 It is clear that there has been a loss of axons in this area. (Plastic sections)
