Table of Contents
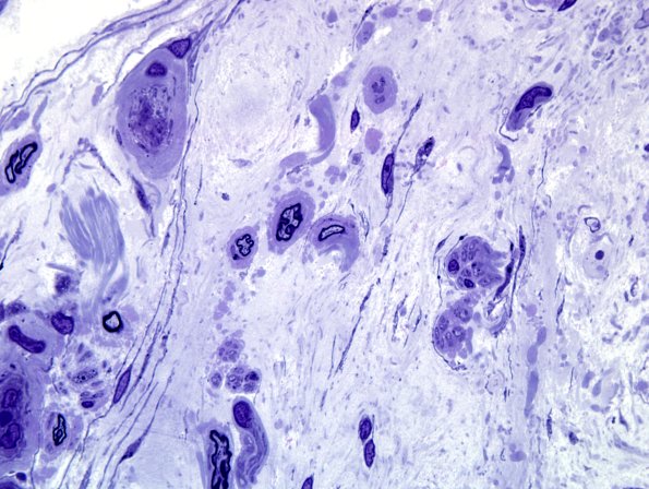
Washington University Experience | PERIPHERAL NEUROPATHY | 1 NORMAL NERVE ANATOMY | 8 Renaut bodies | 5F6 Renaut body-oma (Case 5) Plastic 100X 6.jpg
5F6-8 There is an unusual thickening of blood vessels, myelinated axons and Schwann cells (confirmed by ultrastructural examination). (Plastic sections)
