Table of Contents



Washington University Experience | PERIPHERAL NEUROPATHY | 1 NORMAL NERVE ANATOMY | 8 Renaut bodies | 5G1 (Case 5) EM 030 - Copy

5G1 (Case 5) EM 030 - Copy
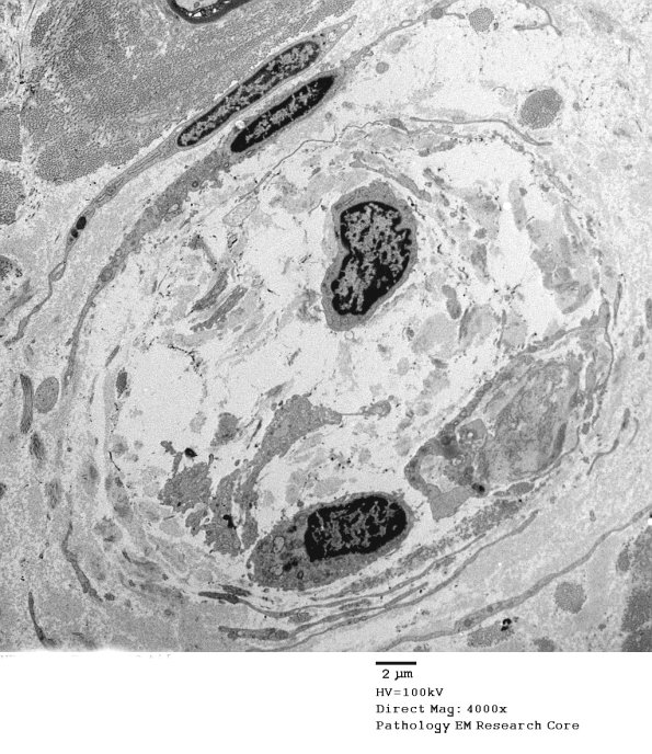
There were typical RB seen in this cross section. (electron micrograph)


Gallery RSS RSS Feed | Archive View | Login | Powered by Zenphoto