Table of Contents
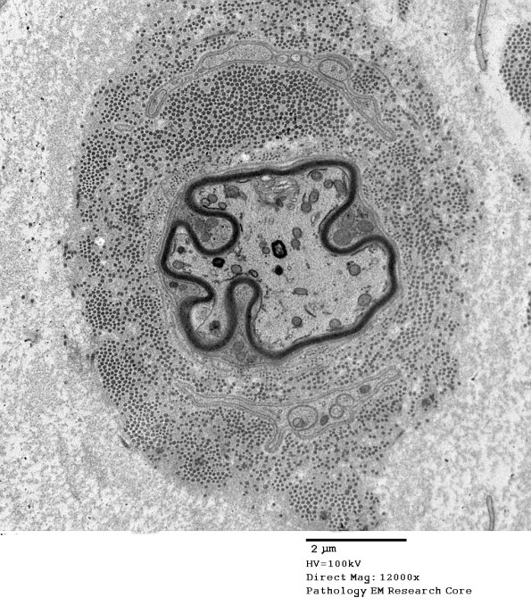
Washington University Experience | PERIPHERAL NEUROPATHY | 1 NORMAL NERVE ANATOMY | 8 Renaut bodies | 5G11 Renaut body-oma (Case 5) EM 046A - Copy
This thinly myelinated axon is found in the center of condensed collagen and matrix. (electron micrographs)
