Table of Contents
Washington University Experience | PERIPHERAL NEUROPATHY | 1 NORMAL NERVE ANATOMY | 8 Renaut bodies | 5G12 Renaut body-oma (Case 5) EM 037A - Copy
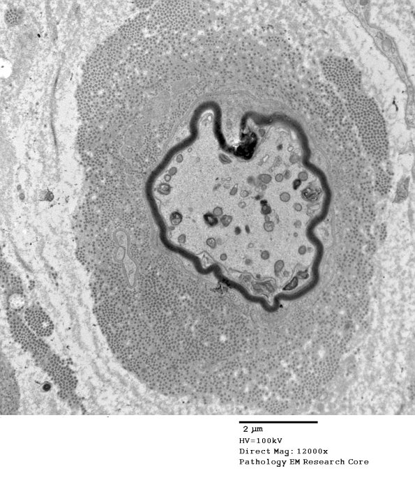
A similar process involves this thinly myelinated axon with accumulated axonal cytosomes. (electron micrograph)
