Table of Contents
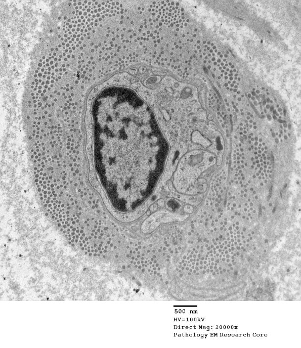
Washington University Experience | PERIPHERAL NEUROPATHY | 1 NORMAL NERVE ANATOMY | 8 Renaut bodies | 5G14 Renaut body-oma (Case 5) EM 038A - Copy
The central Schwann nucleus and processes are surrounded by collagen and oxytalan. (electron micrograph)
