Table of Contents
Washington University Experience | PERIPHERAL NEUROPATHY | 1 NORMAL NERVE ANATOMY | 8 Renaut bodies | 5G15 Renaut body-oma (Case 5) EM 017A - Copy
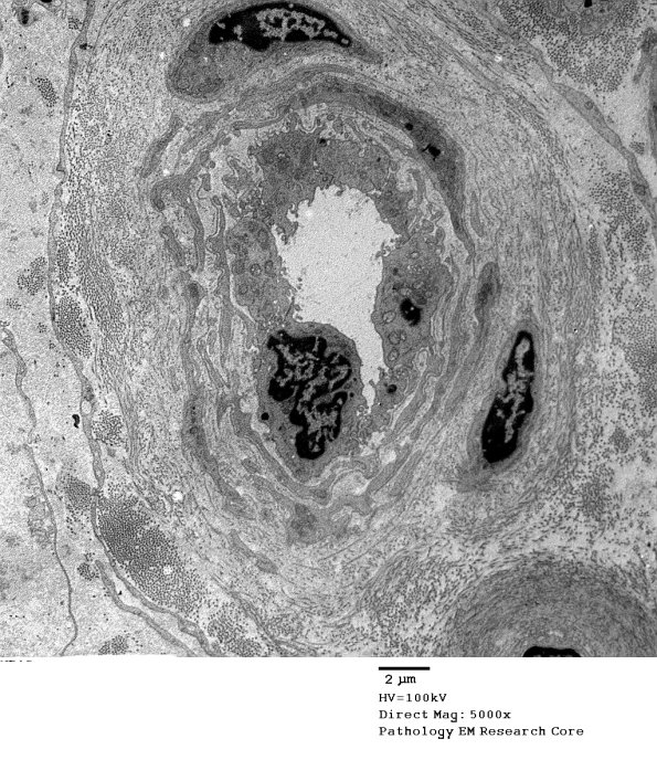
Thickened vessels are surrounded by supernumerary processes and matrix. (electron micrograph)
