Table of Contents
Washington University Experience | PERIPHERAL NEUROPATHY | 1 NORMAL NERVE ANATOMY | 8 Renaut bodies | 5G7 Renaut body-oma (Case 5) EM 018A - Copy
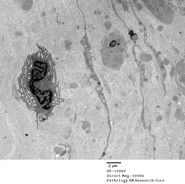
5G7,8 A “vacuolated fibroblast-like-cell” appears to have numerous processes giving rise to the appearance of cytoplasmic vacuoles. (electron micrographs)
