Table of Contents
Washington University Experience | PERIPHERAL NEUROPATHY | 1 NORMAL NERVE ANATOMY | 8 Renaut bodies | 5G9 Renaut body-oma (Case 5) EM 028A - Copy
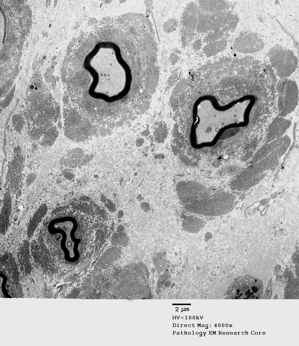
It appears that these endoneurial axons are surrounded by a sheath of collagen and oxytalan. (electron micrograph)
