Table of Contents
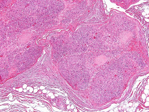
Washington University Experience | PERIPHERAL NEUROPATHY | 1 NORMAL NERVE ANATOMY | 8 Renaut bodies | 6A1 Renaut body (CIDP, Case 6) L Brachial Plexus H&E 7
6A1-3 This nerve was biopsied with a suspicion for CIDP but showed multiple rather dense RB instead. (H&E)
