Table of Contents
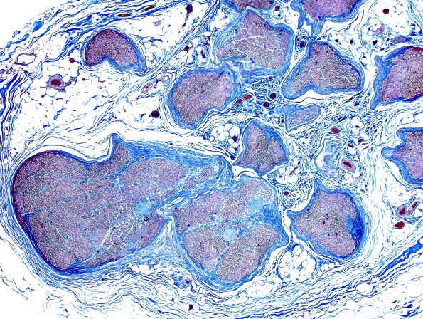
Washington University Experience | PERIPHERAL NEUROPATHY | 1 NORMAL NERVE ANATOMY | 8 Renaut bodies | 6B1 Renaut body (CIDP, Case 6) L Brachial Plexus Trichrome 6
The RB from the same area as image #6A1 show positive but weak trichrome staining. (Trichrome)
