Table of Contents
« prev
next »
Washington University Experience
|
PERIPHERAL NEUROPATHY
|
1 NORMAL NERVE ANATOMY
|
8 Renaut bodies
|
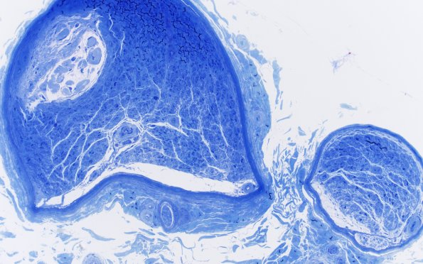
7A1 Renaut body (Case 7) Plastic 20X 1
7A1,2 An RB rich in solid matrix collections. (Plastic sections)
Image Info
Camera Maker:
Olympus
Camera Model:
DP74
Shutter Speed:
3/3125 sec
Metering Mode:
Multi-Spot
Gallery RSS
|
Archive View
|
Login
|
Powered by
Zenphoto