Table of Contents
Washington University Experience | PERIPHERAL NEUROPATHY | 1 NORMAL NERVE ANATOMY | 8 Renaut bodies | 8A2 Renaut bodies (Case 8) Plastic 5.jpg
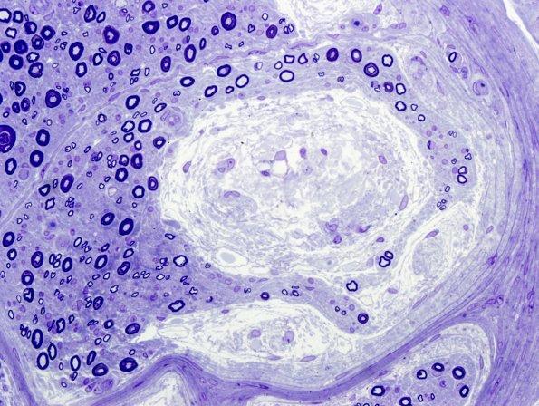
The RB in this case have a more serpiginous appearance and pinch off parts of axon containing endoneurium. (Plastic sections)
