Table of Contents



Washington University Experience | PERIPHERAL NEUROPATHY | 1 NORMAL NERVE ANATOMY | 8 Renaut bodies | 9A2 Renaut Bodies (Case 9) Plastic 5

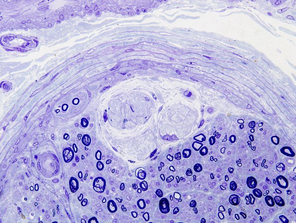
9A2 Renaut Bodies (Case 9) Plastic 5
9A2,3 There is variation in the density of accumulated elements. (Plastic sections)


Gallery RSS RSS Feed | Archive View | Login | Powered by Zenphoto